Clínica
Cliavintes
Clínica Dentária Especializada em Sorrisos Saudáveis, Naturais e Duradouros
Tratamentos avançados em medicina dentária, tecnologia moderna e acompanhamento personalizado para toda a família.
Mais de 20 anos a cuidar de sorrisos
Na Cliavintes, aliamos experiência clínica, tecnologia moderna e uma equipa multidisciplinar para garantir tratamentos seguros, eficazes e personalizados.
Já ajudámos milhares de pacientes a recuperar a função, estética e confiança no seu sorriso.
Tratamentos Dentários
Transformamos Sorrisos
Porque escolher a Cliavintes?
Excelência Clínica
Equipa experiente, formação contínua e protocolos clínicos rigorosos.
Tecnologia Moderna
Equipamentos de diagnóstico e planeamento digital para tratamentos mais precisos, rápidos e confortáveis.
Atendimento Humano
Empatia, proximidade e acompanhamento real em todas as fases do tratamento.
Resultados Naturais
Foco na função, estética e estabilidade a longo prazo.
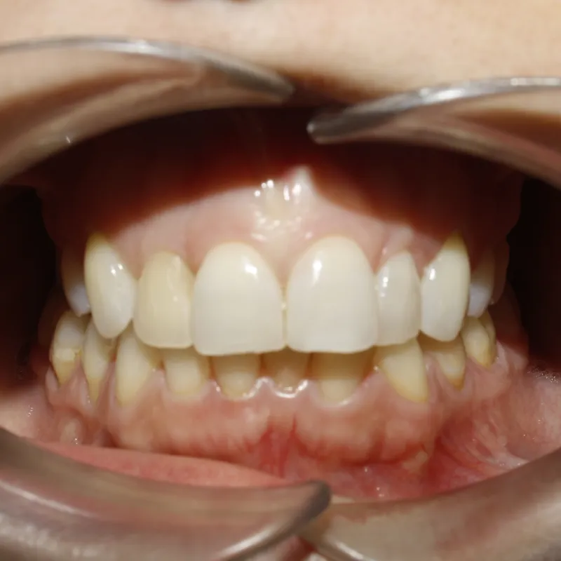
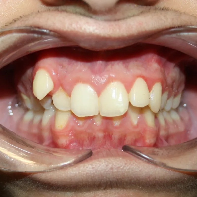
Transformações
Antes & Depois
34 meses
27 meses
32 meses
27 meses
Como funciona a sua primeira consulta?
- Avaliação clínica completa
- Exames e diagnóstico digital
- Definição de Plano de tratamento personalizado
- Acompanhamento contínuo
Casos de Sucesso
Os sorrisos que já ficaram para a história!
Alinhadores Invisíveis
“Os Alinhadores Invisíveis são práticos, indolores, fáceis de higienizar e proporcionam resultados rápidos e fantásticos.
Na Cliavintes, sob os cuidados da Dra. Raquel, encontrei a confiança necessária para iniciar este tratamento.
Além disso, uma das maiores vantagens deste tratamento é o resultado final: com os Alinhadores Invisíveis, conseguimos moldar o nosso sorriso conforme desejamos.
Recomendo tanto o tratamento quanto a clínica pelo profissionalismo e proximidade com o cliente.”
Bruno Lopes
Implantologia
“Obrigada a todos, sem exceção!! Excelente equipa, sempre atenciosa e com imensa disponibilidade para ajudar.
Mudaram a minha vida, agora sou mais feliz e confiante.
Grata por tudo o que fizeram por mim.
Feliz Natal, com muita saúde. ❤️”
Marlene Ferreira
Facetas em resina composta
“Um talento tão único que merece toda a minha gratidão.
Gratidão acima de tudo por terem compreendido os meus medos e vaidades.
Parabéns a todos vós!”
Pedro Silva
Reabilitação Oral
“Eu era aquela pessoa que fugia das Clínicas Dentárias até ao dia em que entrei na Cliavintes para pedir informação sobre a colocação de Prótese Dentária.
Após análise e posterior conversa com a colaboradora fiquei desde logo convencido que era ali que iria fazer a minha transformação.
Hoje passado sensivelmente dois anos não tenho a menor dúvida que foi a melhor escolha e faria tudo novamente.
Desde o primeiro dia que tudo foi feito com um profissionalismo acima da média.
Obrigado à Dr. Raquel e sua equipa de colaboradores, já fiz várias recomendações da clínica e hoje vou ao dentista sem medo algum.“
Hélder Lopes