Medicina Dentária

Ortodontia

Alinhamento dentário funcional e estético para um sorriso harmonioso.

Trata-se da área da medicina dentária que corrige e/ou alinha a posição das peças dentárias, não somente por motivos estéticos mas também por motivos funcionais ou má oclusão. Está relacionada com prevenção e tratamento, mas também com crescimento e desenvolvimento maxilar. Estes aparelhos podem também exercer efeitos ao nível de estruturas ósseas, musculares, articulares e funcionais.

É realizado através de vetores de força, que devem ser planeados e analisados individualmente. Quanto à realização do tratamento, este tem uma duração variável, dependendo do caso.

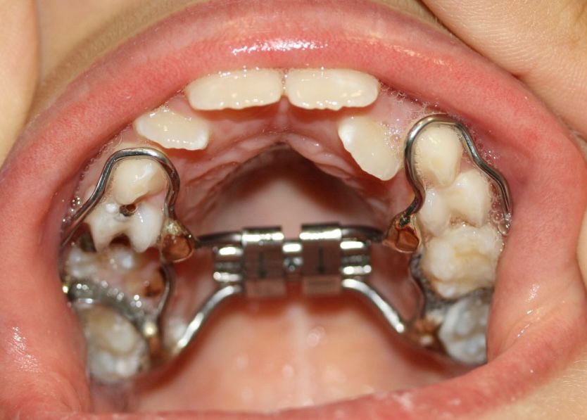
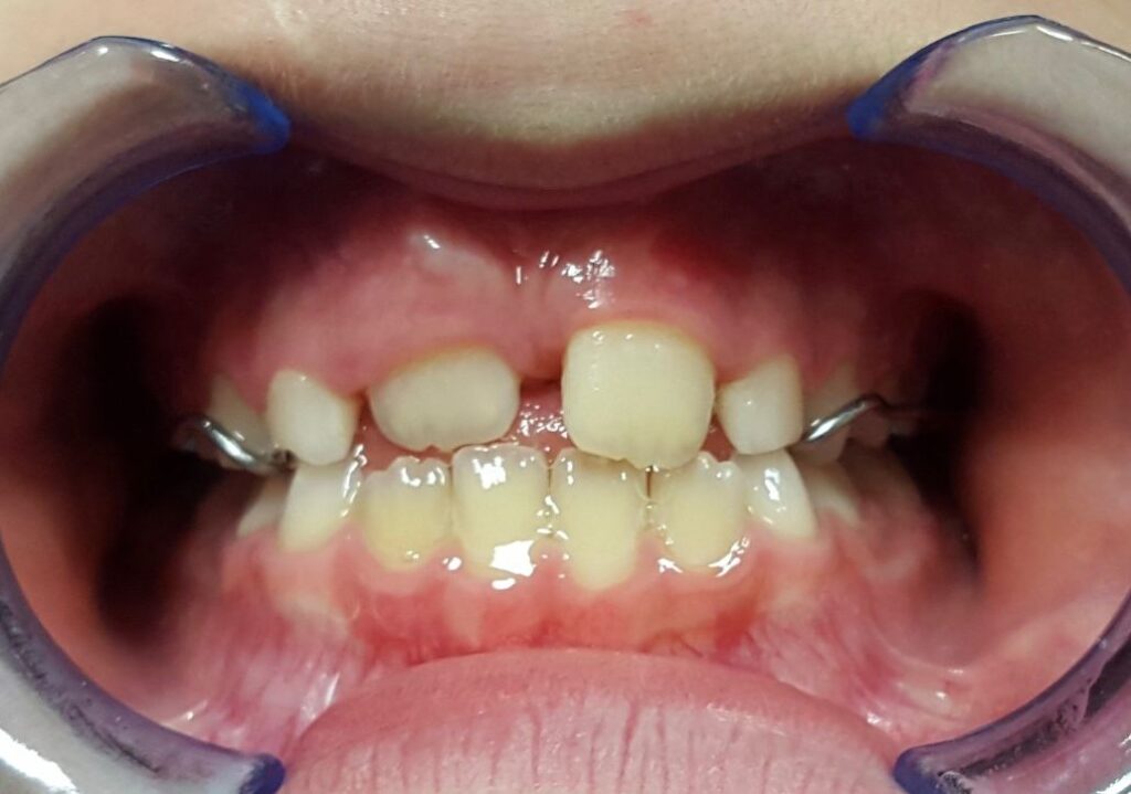
Intercetiva

A ortodontia intercetiva consiste no diagnóstico e posterior prevenção/ intervenção de alterações oclusais num período inicial, quando ainda existe a possibilidade de travar o seu desenvolvimento e reverter o problema que, futuramente, tornar-se-ia instalado. Durante o desenvolvimento da criança podem ocorrer alguns desvios da normalidade, sendo necessário realizar tratamentos com o objetivo de evitar consequências graves na oclusão dentária, minimizando, assim, futuros problemas de ordem funcional e esquelética.

Fixa

A ortodontia fixa está relacionada com o estudo, prevenção e tratamento dos problemas de crescimento, oclusão e disfunções faciais.
Trata-se de um procedimento sobretudo corretivo, realizado em crianças, adolescentes e adultos, analisado através de um estudo detalhado de cada caso. Este estudo permite-nos saber quanto tempo vai ser necessário até conseguirmos o resultado final, bem como que estratégias devemos utilizar.

Alinhadores invisíveis

Trata-se de um sistema tecnológico, capaz de alinhar os nossos dentes sem usar metal na boca, diminuindo as visitas ao dentista bem como o tempo de tratamento! Além disso, permite-nos ter toda a liberdade para praticar exercício, comer e tirar fotos sem que ninguém perceba.

Este tipo de aparelhos permite resultados mais rápidos, funcionando através de vetores de força controlados cuidadosamente. Além disso, conseguimos controlar também quando os movimentos acontecem, permitindo que determinados dentes se movam em fases específicas, de acordo com o plano de tratamento.

São praticamente invisíveis, feitos de um termoplástico resistente e de qualidade médica, que encaixam confortavelmente nos seus dentes.

Para iniciar o tratamento, deve ser feita uma consulta de estudo ortodôntico e, posteriormente, um scann intraoral. Este material permite-nos definir o tempo de utilização de aparelho e avaliar o resultado final, que pode sempre ter uma opinião do próprio.

TRANSFORMAMOS SORRISOS

Casos de Sucesso

Os sorrisos que já ficaram para a história!

Alinhadores Invisíveis

“Os Alinhadores Invisíveis são práticos, indolores, fáceis de higienizar e proporcionam resultados rápidos e fantásticos.
Na Cliavintes, sob os cuidados da Dra. Raquel, encontrei a confiança necessária para iniciar este tratamento.
Além disso, uma das maiores vantagens deste tratamento é o resultado final: com os Alinhadores Invisíveis, conseguimos moldar o nosso sorriso conforme desejamos.
Recomendo tanto o tratamento quanto a clínica pelo profissionalismo e proximidade com o cliente.”

Bruno Lopes

Alinhadores Invisíveis

“A experiência com os Alinhadores Spark tem sido muito positiva. Tanto pelo acompanhamento prestado pelos profissionais da Cliavintes, como pela rapidez e eficiência dos Alinhadores.

Em 10 meses o meu sorriso mudou completamente para melhor, sendo que com um refinamento efetuado, o meu caso será finalizado nos próximos meses.
Aproveito para felicitar toda a equipa pelo exímio atendimento!

Pedro Mendes

Transformações

34 meses
27 meses
32 meses
27 meses